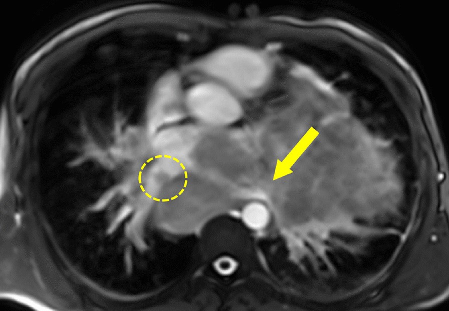
Fig. 14
From: Society for Cardiovascular Magnetic Resonance 2019 Case of the Week series

Case 4. Cine balanced steady state free precession (bSSFP) image shows the right pulmonary veins (yellow circle) and left pulmonary veins (yellow arrow) infiltrated by the mediastinal mass